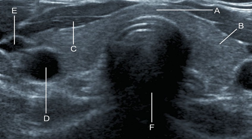
Ecotomografía Tiroidea
- ¿Qué es? Es un examen que estudia la glándula tiroides que se encuentra ubicada en la región anterior del cuello.
- Preparación Este examen no requiere preparación.
Contáctenos
Para agendar puedes comunicarte con nosotros a los celulares (llamada o mensaje via whatsapp).
Lun - Vie: 9:00 hrs. a 18:00 hrs. +569 4243 2992 / +569 4186 7490
Sábados: 9:00 hrs. a 13:00 hrs. +569 4243 2992
