Ecotomografía Transvaginal
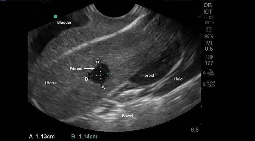
- ¿Qué es? Es un estudio que permite visualizar, a través de ondas sonoras de alta frecuencia, imágenes internas del cuello uterino, las trompas de falopio, el útero y los ovarios, es decir, todos los órganos que forman parte del aparato reproductor femenino..
- Este método de diagóstico tiene como propósito observar afecciones en los órganos internos de la mujer, cómo quistes en los ovarios, fibromas o sangrado anormal en el útero.
Contáctenos
Para agendar puedes comunicarte con nosotros a los celulares (llamada o mensaje via whatsapp).
Lun - Vie: 9:00 hrs. a 18:00 hrs. +569 4243 2992 / +569 4186 7490
Sábados: 9:00 hrs. a 13:00 hrs. +569 4243 2992
